Що таке вініри? Де їх встановити у Вінниці (партнерський проєкт)
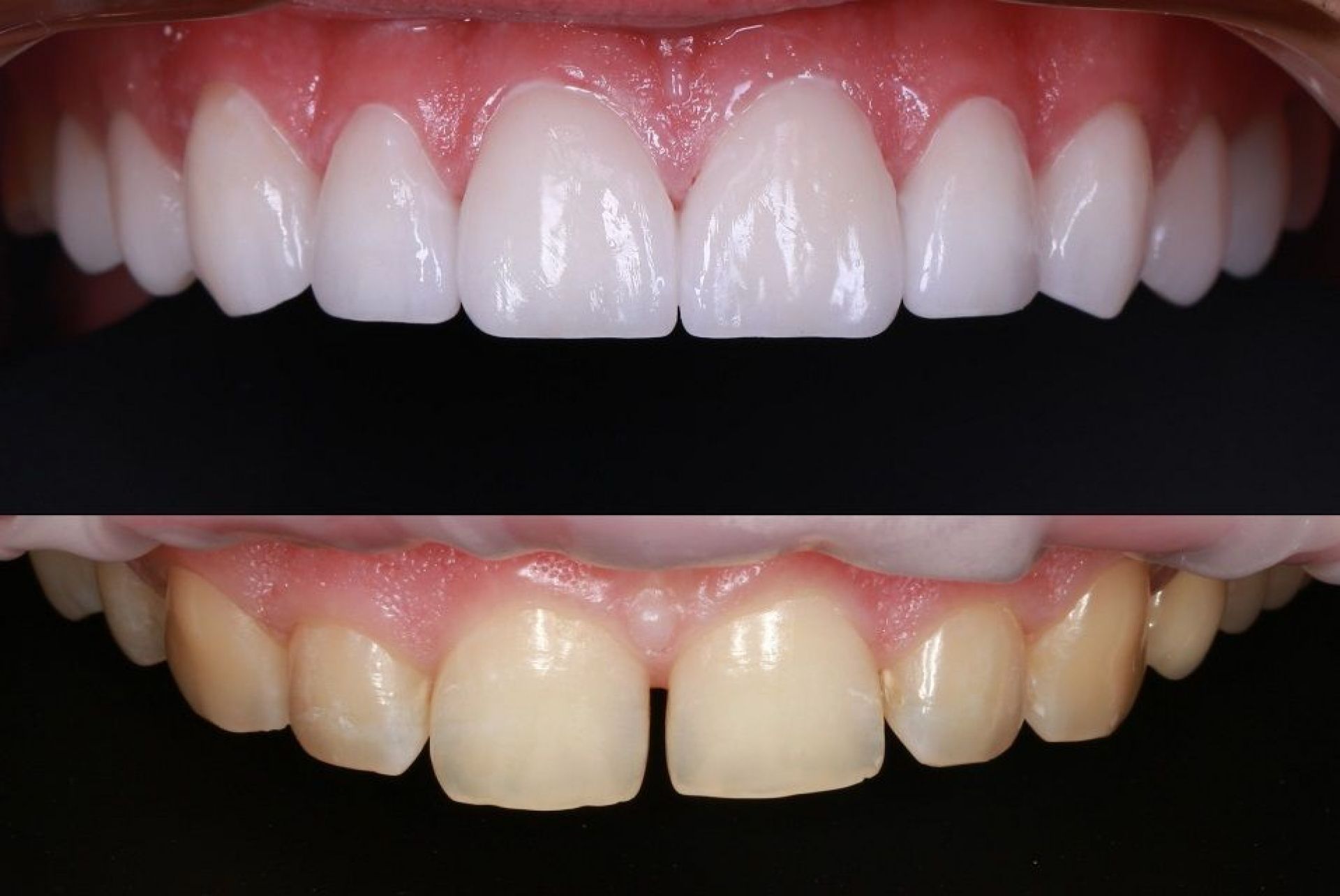
- Вініри - це тонкі пластинки, які накладаються на передню поверхню зубів, щоб відновити їх форму, колір і розмір. Вони допомагають вирішити проблеми з відколами, потемнінням емалі, неправильною формою зубів та іншими дефектами. Встановлення вінірів - це швидкий і ефективний спосіб отримати привабливу посмішку без тривалого лікування.
- Такий метод став все більш популярним серед людей, які цінують свій час і хочуть мати ідеальну усмішку. Вініри дозволяють за короткий термін отримати вражаючий результат, зберігаючи при цьому здоров'я та природний вигляд зубів.
- Отже, вініри - це чудовий спосіб вирішити косметичні проблеми зубів швидко і безболісно, що робить їх дуже популярними серед сучасних людей. А де їх встановити у Вінниці допоможе наша добірка кращих стоматологій, які спеціалізуються в цьому питанні.
Зміст
- Стоматологічна клініка "Поділля #Врубльовських"
- Стоматологічна клініка "Dr. Miller"
- Стоматологічна клініка "Вінінтермед"
Стоматологічна клініка "Поділля #Врубльовських"
Установка вінірів - це ювелірна та творча робота, тому таку справу варто довіряти тільки професіоналам.
Клініка "Поділля" #Врублевських" працює 10 років на ринку та надає широкий спектр стоматологічних послуг:
- хірургія та імпантація;
- лікування під мікроскопом;
- пародонтологія та ортодонтія;
- дитяча стоматологія;
- естетична, ортопедична та терапевтична стоматологія.
Клініка має тисячі задоволених пацієнтів, які відвідують нас сім'ями. Тільки у нас гарантією вашої ідеальної посмішки будуть не лише передові технології і високоякісні матеріали, а й професіоналізм ортопедів і терапевтів.
Спеціалісти клініки "Поділля" #Врублевських" допоможуть підібрати матеріал, колір та форму аби пацієнт отримав посмішку мрії. До того ж, на зубні вініри ціна у нас цілком демократична і доступна для всіх бажаючих. Тому за "Голлівудською посмішкою" лише до нас, клініка працює щодня (пн-пт з 8:00 до 20:00; сб-нд з 9:00 до 15:00).
Записатись на прийом можна за номерами: 098 066 20 32, 063 066 20 32, 0432 65 65 66.
Сайт: podillya.dentist
Інстаграм: podillya.stom
Фейсбук: podillya.stom
Адреса: м. Вінниця, вул. Зодчих, 3.
Стоматологічна клініка "Dr. Miller"
Чи можливо зробити вашу посмішку такою ж осяйною та досконалою, як на фото у відомої зірки? Так, і навіть більше! Коли ви довіряєте професіоналам, то отримуєте абсолютний захват не лише від результату, а й від процесу.
Наші лікарі щодня відновлюють, вдосконалюють посмішки пацієнтів, використовуючи сучасні та безпечні методи. Один із них – це встановлення вінірів.
Для бездоганного результату ми здійснюємо ретельну підготовку:
- проводимо діагностику за допомогою сучасного комп’ютерного томографа Planmeca ProMax 3D;
- робимо комп’ютерне моделювання майбутнього вигляду посмішки, використовуючи інтраоральний сканер 3Shape;
- усуваємо патологічні процеси (карієс, запалення ясен), якщо вони виявлені під час діагностики. Це гарантує вам не лише естетику, а й здоров’я зубів;
- використовуємо якісні матеріали і дентальний мікроскоп, аби врахувати навіть найменші дрібниці, непомітні для людського ока.
Пацієнти цінують клініку "Dr. Miller" за високу кваліфікацію лікарів, доброзичливість персоналу і приємну атмосферу.
Ми втілюємо мрії про ідеальну посмішку комфортно та безболісно.

Графік роботи клініки: Пн - пт: 9:00 - 20:00;
Сб: 9:00 - 16:00. Нд: вихідний.
Сайт: dr.miller.vn.ua
Інстаграм: dr.miller.vn
Фейсбук: dr.miller.vn
Телефон: 067 525 88 55
Адреса: м. Вінниця, вул. Василя Порика, 40
Завжди раді Вам допомогти!
Стоматологічна клініка "Вінінтермед"
"Вінінтермед" – це не просто стоматологічна клініка, а справжній синонім слова “стоматологія” у місті Вінниця. Більше 32 років цей медичний заклад не лише надає людям можливість посміхатися, але й рятує їх від нестерпного зубного болю.
У "Вінінтермед" вам доступний увесь спектр стоматологічних послуг, які надаються за найсучаснішими стандартами країн Європи. Тут працює висококваліфікований персонал, готовий надати вам професійну стоматологічну допомогу.
Мрії наших пацієнтів про голлівудську посмішку збуваються завдяки передовим технологіям стоматології, а особливо – виготовленню вінірів. Цей метод виявився найефективнішим, допомагаючи кожному досягти ідеального вигляду зубів.
З використанням передових технологій та великого досвіду, фахівці "Вінінтермед" створюють вініри, які є справжнім витвором стоматологічного мистецтва. Відвідавши поліклініку, ви отримаєте не лише високу якість та швидкість виготовлення вінірів, але й професійний підхід до вашого здоров’я.
ВІНІНТЕРМЕД ЛТД
Адреса: м.Вінниця, вул. Пирогова 3а
Графік роботи: понеділок - п’ятниця з 8:00 до 21:00
субота з 9:00 до 16:00, неділя - вихідний
Телефон: 0432 67 41 41
Мобільні телефони:
(073)-494-09-09
(067)-234-34-26
(050)-461-57-00
(067)-621-55-99 гаряча лінія
Сайт: vinintermed.com.ua
Ел. адреса: [email protected]
Контакти Філії
ВІНІНТЕРМЕД-ТЕХНІК
Адреса: м.Вінниця, вул. Стрілецька 1
Графік роботи: понеділок - п’ятниця з 8:00 до 21:00
субота з 9:00 до 16:00, неділя - вихідний
Телефон: (0432)66-44-40
Мобільні телефони: 068-846-26-26
Ел. адреса: [email protected]
