Кардіохірурги видалили металеві уламки з працюючого серця пацієнта
- У серці молодого чоловіка лікарі виявили металеві уламки.
- Команда кардіохірургів провела успішну операцію на працюючому серці пацієнта.
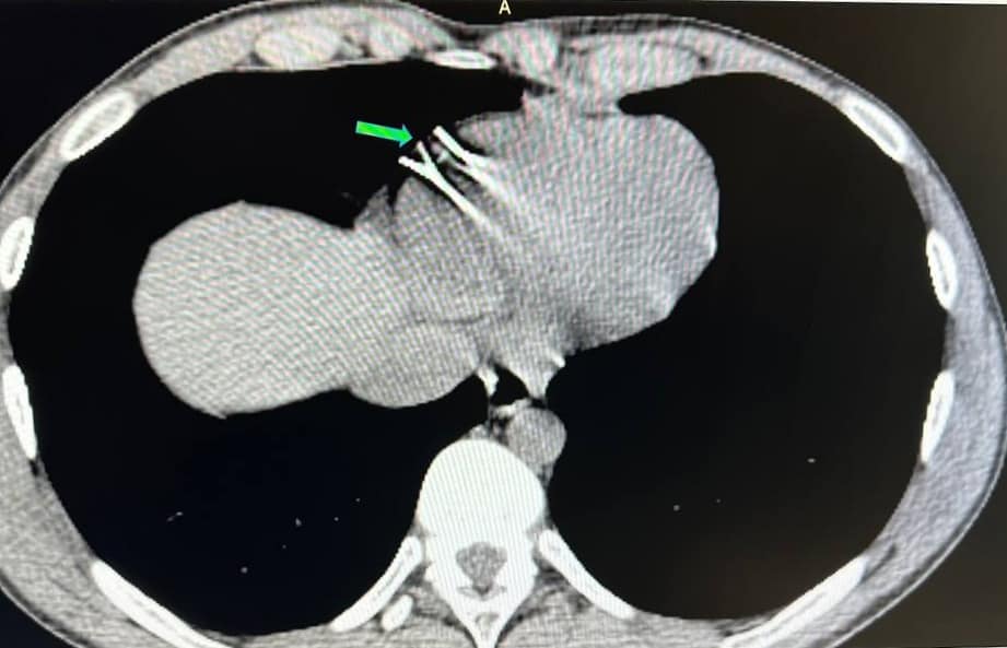
До лікарні імені Пирогова поступив 22-річний чоловік з проникаючою травмою грудної клітки. Після обстеження у нього виявили два сторонніх тіла — металеві уламки в стінці правого шлуночка серця.

7 березня у Вінницькій «Пироговці» хірурги успішно провели надскладну операцію на працюючому серці пацієнта. Операція проводилась без зупинки кровообігу через міні-доступ з використанням сучасних методів рентгеннавігації та магнітних пристроїв.

Успішне хірургічне втручання провела команда кардіохірургів лікарні імені Пирогова спільно з фахівцями Національного інституту серцево-судинної хірургії імені М.М. Амосова.
Використання малоінвазивного методу міністернотомії дозволило зменшити об'єм хірургічної травми та період післяопераційної реабілітації, що відповідає сучасним світовим стандартам надання медичної допомоги.

Наразі пацієнт почувається добре і проходить післяопераційну реабілітацію.
Читайте також:
Як обрати сімейного лікаря? Рейтинги найпопулярніших і тих, з ким ще можна укласти декларацію
Хірурги вінницької «Пироговки» провели три успішні реконструкції обличчя
Слідкуйте за новинами Вінниці у Telegram.
-нині тяжкі інсульти,інфаркти у обласній лікарні за державний кошт..
Прошу переглянути всіх ⭕️