Історії з травмпункту: як у Вінниці щодня на велосипедах та самокатах калічаться діти
 
    
- У Вінниці почастішали дитячі травми через падіння з велосипедів і самокатів.
- Були складні травмування кінцівок, голови та внутрішніх органів.
- Це ще один привід посилити увагу до безпеки та здоров’я дітей.
Через часті випадки дитячого травмування на самокатах і велосипедах у теплу пору року батьків застерігають бути більш обачливими. Хірургам доводиться не лише лікувати травми, а й часом боротися за життя дітей, рятуючи їх від інвалідності.
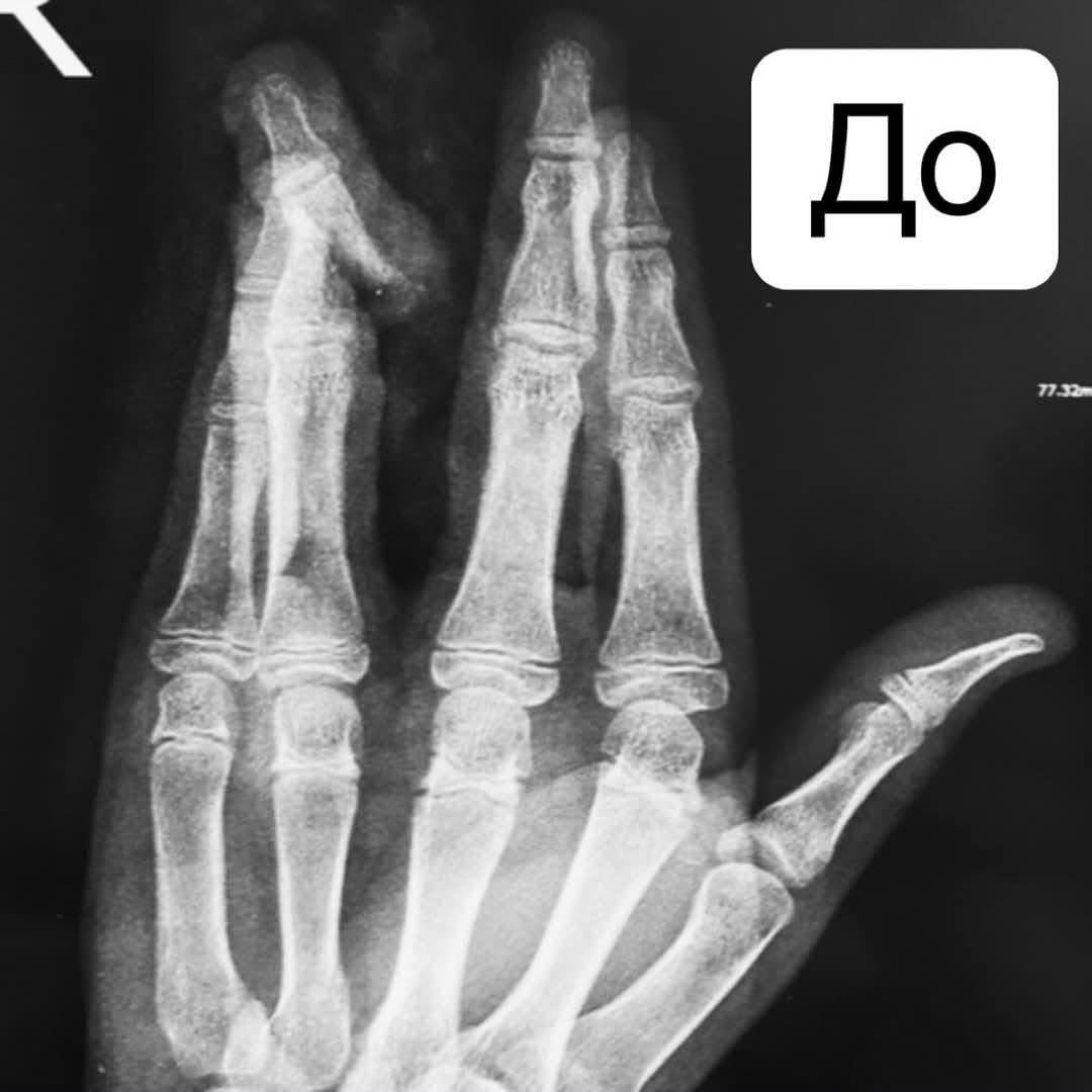
Травматична ампутація пальця

Днями до травматологічного пункту Вінницької обласної дитячої клінічної лікарні карета швидкої допомоги доставила 12-річний хлопчик із частковою травматичною ампутацією IV пальця правої кисті після падіння з самоката.
Діагноз медиків: повне пошкодження латеральних пучків сухожилка-розгинача та глибокого сухожилка-згинача пальця, відкритий перелом середньої фаланги IV-го пальця правої кисті зі зміщенням.
В умовах операційної лікарі виконали первинну хірургічну обробку рани, відкриту репозицію уламків середньої фаланги з фіксацією шпицею, пластику латеральних пучків сухожилка-розгинача, ушивання країв рани.
Через складність травми пластику глибокого сухожиллля лікарі вирішили провести в плановому порядку, аби максимально зберегти функцію пальця та уникнути ампутації.
Уже після першого етапу лікування була помітна позитивна динаміка: відновлене розгинання пальця, цілісність кістки та м’яких тканин, циркуляцію крові.
Після регенерації мʼяких тканин і зрощення кістки на дитину чекає наступний етап — пластика глибокого сухожилка-згинача.
Пошкодження внутрішніх органів

Напередодні вищезгаданого травмування до хірургічного відділення Вінницької обласної дитячої лікарні доставили 6-річного хлопчика, який впав з велосипеда. Спочатку дитина скаржилася лише на незначний біль у животі, без зовнішніх ознак травми, але самостійно дісталась додому і ще деякий час не розповідала матері про те, що сталося. Але коли біль посилився, хлопчик вирішив зізнатись.
Мама терміново звернулась у приймальне відділення нашої лікарні, де після поглибленого дообстеження фахівці виявили пошкодження внутрішніх органів дитини:
- розрив брижі ободової кишки в ділянці печінкового кута і спричинену цим масивну кровотечу;
- заочеревинну гематому.
Медики дитячої обласної виконали широку лапаротомію, знайшли та ліквідували внутрішню кровотечу, здійснили санацію та дренування черевної порожнини.
Протягом перших післяопераційних діб дитина перебувала під наглядом реаніматологів, після стабілізації стану — хлопчика перевели до хірургічного відділення №2 ВОДКЛ для подальшого лікування та реабілітації.
— Такі ситуації мають сезонність, саме з настанням тепла їх кількість почастішала, — зазначив завідувач хірургічним відділенням №2 Віктор Гончарук, який разом із командою хірургів рятував життя маленького пацієнта. — Цей випадок був досить важким і рахунок йшов на години, оскільки дитина мала масивну крововтрату. Але завдяки злагодженій роботі анестезіологів-реаніматологів та хірургів хлопчик виписується зі стаціонару з посмішкою.
До двох травмувань щодня

За словами завідувача травмпунктом Вінницької обласної дитячої лікарні Степана Юшкова, щодня в приймальне відділення потрапляє одна-дві дитини з травмами різної важкості. На самокатах травмуються діти віком від 8-ми років і старші, на велосипедах — ще молодші.
— Ну, скажемо так, практично кожен день є такі випадки, — каже завідувач травмпунктом. — Є складні випадки, є легкі травмування. Щодня звертається в травмпункт по одній-дві дитини, буває більше. Якщо пощастить — жодних травми, пов'язних з падінням з двохколісних.
З настанням теплої пори року діти все частіше проводять час надворі, катаючись на велосипедах, самокатах та інших засобах пересування. Але навіть звичайне падіння з двоколісного друга може мати серйозні наслідки, зокрема для внутрішніх органів.
— А саме, різного характеру абдомінальні травми, які, на жаль, видно не одразу, а тоді, коли уже є загроза життю дитини, — зазначає медик. — Тому, як показує наведений приклад, важливо одразу звертатись до лікаря навіть після найменшої травми.
Абдомінальні травми (які стосуються черевної порожнини), спричинені падіннями та ударами у дітей, можна розділити на кілька категорій. У хірургічній практиці при травмах живота, асоційованих із падінням, найчастіше зустрічаються такі:
- Травми селезінки та печінки — від невеликих гематом до повного розриву з масивною внутрішньою кровотечею.
- Пошкодження підшлункової залози — небезпечні через ризик розвитку ферментативного перитоніту.
- Розриви порожнистих органів (кишечника чи шлунку) — особливо небезпечні у ділянках, де кишечник фіксований до брижі.
- Пошкодження магістральних судин — рідкісні, але смертельно небезпечні у разі несвоєчасної діагностики.
- Розриви брижі (подвійної складки очеревини, яка кріпить кишку до стінки черевної порожнини) — можуть супроводжуватися внутрішньою кровотечею та заочеревинними гематомами, потребують оперативного втручання.
Застереження для батьків

Медики наголошують, діти — активні, допитливі й водночас вразливі. Навіть незначне падіння може приховувати загрозливу травму внутрішніх органів. Тому батькам важливо:
- уважно спостерігати за дитиною після падіння, навіть якщо зовні все гаразд,
- якщо сталася травма — не гайте часу, негайно зверніться до лікаря,
- особливо звертати увагу та звертатись у лікарню, коли на передній черевній стінці є сліди від руля чи інших предметів.
Фахівці рекомендують не зволікати і при перших підозрах на травму звертатись у приймальне відділення ВОДКЛ — тут дитину обстежать, стабілізують та, за необхідності, одразу нададуть висококваліфіковану хірургічну допомогу.
Ще поради та застереження батькам від лікарів:
- поясніть дитині правила безпеки при користуванні самокатом, велосипедом чи скейтом.
- уникайте катання на великій швидкості, особливо в місцях з нерівною поверхнею, біля бордюрів, сходів, транспорту.
- не дозволяйте дітям кататись у вечірній час без нагляду або у місцях з поганим освітленням.
- завжди наполягайте на використанні захисних засобів: шолома, налокітників, наколінників, рукавиць.
— Рекомендую батькам купувати дітям не електронні, а механічні самокати, — наголошує лікар Степан Юшков. — Якби дорослі своїй малечі одягали захисні щитки, на руки налокітники, наколінники та шолом, то тяжких травм було б набагато менше. Як за кордоном. Там, якщо поліцейські побачать, що діти без захисних засобів, батькам такий штраф випишуть, що мало не видасться.
Читайте також:
Навчання школярів з особливими потребами: як працюють асистенти дитини у Вінниці
Будівництво розпочали у 1977 році. Вінницька дитяча обласна лікарня відзначає 45-річний ювілей
Слідкуйте за новинами Вінниці у Telegram.
 
                             
                         
                                     
                                    