Ювелірна робота хірургів. У Вінниці врятували руку підлітка після надскладної травми ліктя
- Невдале падіння 13-річного підлітка ледь не призвело до інвалідності: у хлопчика діагностували важке поєднання вивиху та перелому ліктьового суглоба. Це одна з найскладніших травм у дитячій ортопедії, яка загрожує повною втратою рухливості руки.
- Проте завдяки майстерності хірургів Вінницької обласної дитячої лікарні та сучасним методам реабілітації, дитина знову може вільно рухати рукою.
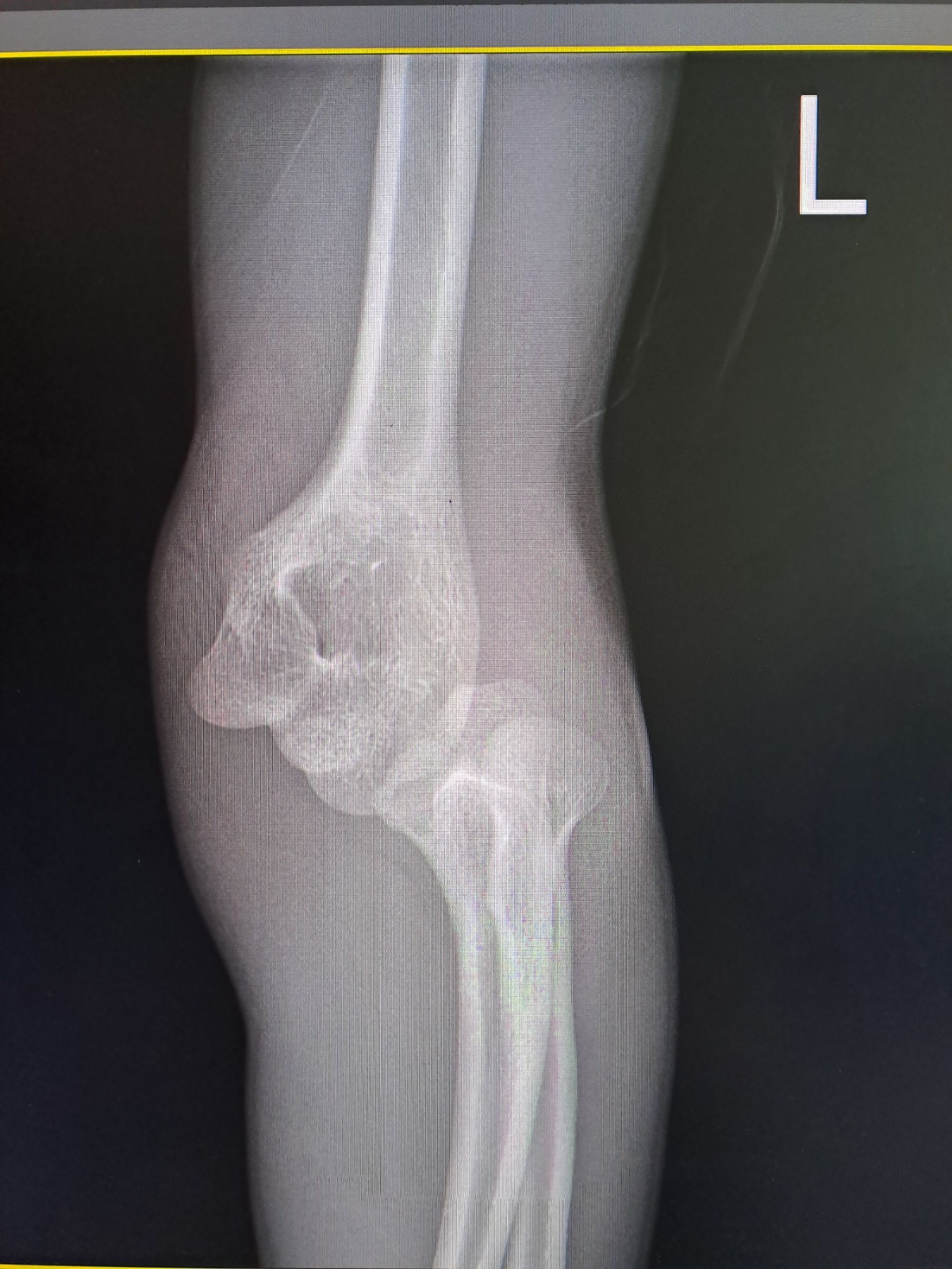
Хлопчик потрапив до травмпункту з вираженим болем та сильною деформацією ліктя. Рентген підтвердив найгірші побоювання медиків: закритий вивих передпліччя разом із переломом плечової кістки. Таке ушкодження вважається нестабільним — це означає, що суглоб буквально «розійшовся», а зв’язки та капсула зазнали значних розривів, передає Вінницька обласна дитяча клінічна лікарня.
Реконструкція за міліметрами
Щоб повернути руці функціональність, лікарі прийняли рішення про термінове хірургічне втручання. Це була справжня ювелірна робота, що складалася з кількох критичних етапів:
- Пластика капсули: хірурги відновили розірвану суглобову капсулу — це найскладніший елемент, без якого рука назавжди залишилася б нестабільною.
- Точне співставлення: уламки кістки зіставили до міліметра, повернувши їм анатомічну форму.
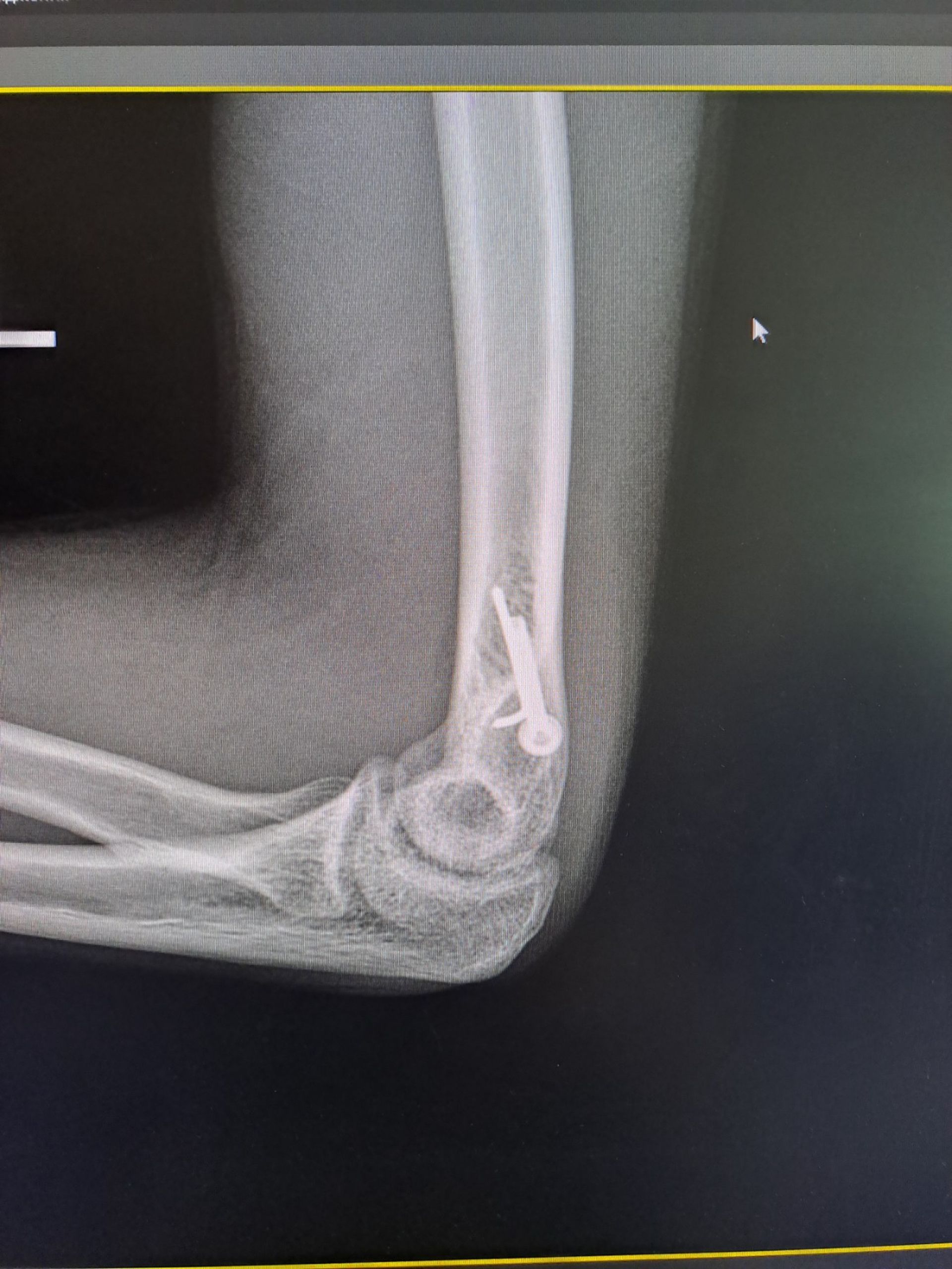
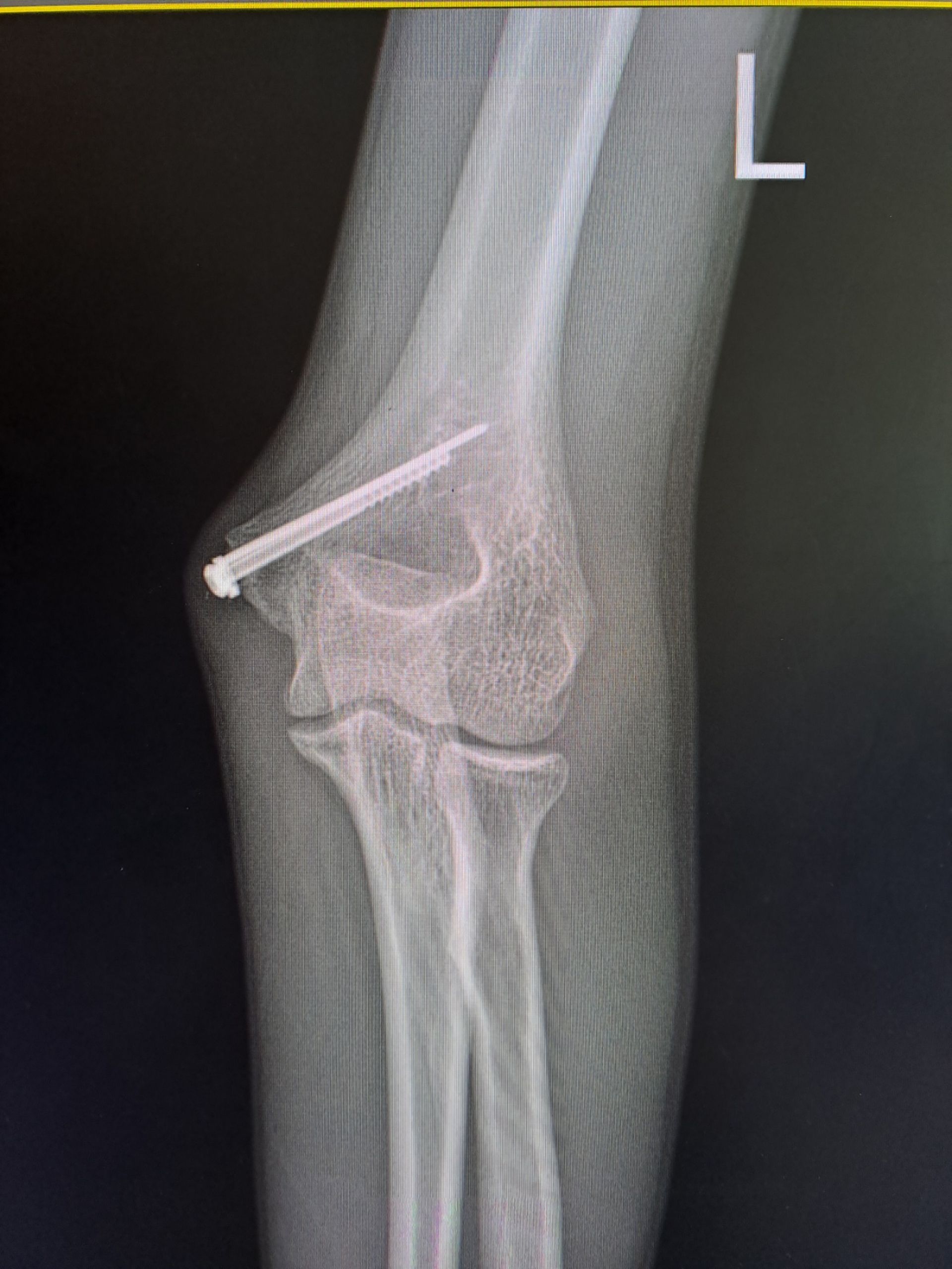
- Стабільна фіксація: щоб кістка правильно зрослася, її закріпили спеціальним гвинтом та спицею. Це дозволило не тримати руку в гіпсі занадто довго і почати рухи раніше.
Від перших кроків до повної свободи
Успіх операції — це лише половина справи. Справжня боротьба за рухливість почалася під час реабілітації. Вже через три тижні після операції з підлітком почала працювати мультидисциплінарна команда реабілітологів.
Над чим працювали фахівці:
- Поступове повернення згинання та розгинання руки.
- Профілактика «завмирання» суглоба (контрактур).
- Відновлення сили м'язів та координації рухів.

Результат: життя без обмежень
Сьогодні цей складний шлях уже позаду. Лікарі провели планове видалення металевих фіксаторів і констатували: функція ліктя відновлена на 100%. Хлопчик не відчуває болю, не має обмежень у рухах і вже повернувся до своєї звичної фізичної активності.
Цей випадок вкотре доводить — поєднання досвіду хірургів, сучасного обладнання та наполегливості пацієнта здатні творити справжні дива навіть у найважчих клінічних ситуаціях.
До речі, вінницька обласна лікарня імені Пирогова увійшла до ТОП-10 медичних закладів України за кількістю проведених пересадок органів у 2025 році. За 12 місяців місцеві хірурги провели 13 надскладних операцій, подарувавши пацієнтам шанс на нове життя.
Читайте також:
Які віруси зараз «ходять» на Вінниччині та хто хворіє найчастіше
Мороз і лід: у Вінниці змінили рух трамваїв і тролейбусів
Сніг, евакуатори й штрафи: як у Вінниці наводять лад на зимових дорогах
Слідкуйте за новинами Вінниці у Telegram.