Небезпечний самокат: травматологи Вінниці врятували ногу підлітку, що отримав три складні переломи

Небезпечний самокат: травматологи Вінниці врятували ногу підлітку, що отримав три складні переломи
  • У Вінниці провели складну операцію підлітку, який отримав важку травму, впавши з самоката. У хлопця було три переломи.

Медики Вінницької обласної дитячої клінічної лікарні успішно завершили багатоетапну операцію 17-річному пацієнту, який отримав серйозну травму ноги після падіння з самоката.

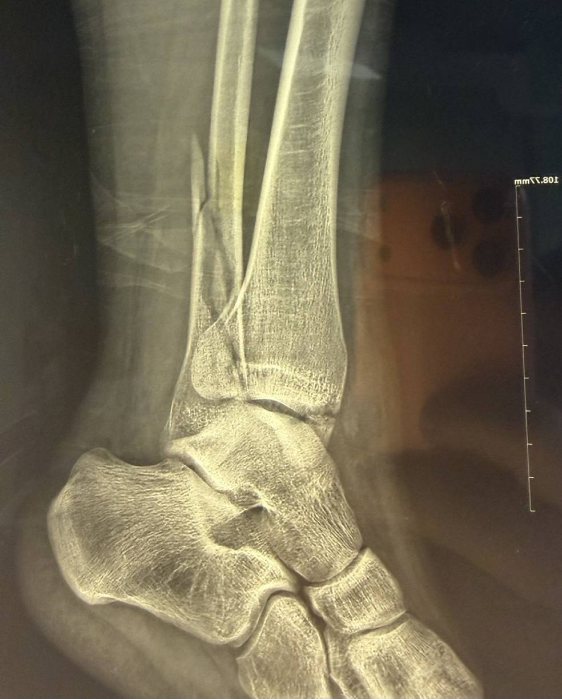
Хлопець звернувся до травмпункту, і обстеження показало, що він має не один, а цілих три складних переломи кісток гомілковостопного суглоба зі зміщенням.

Після госпіталізації та проведення додаткових обстежень (КТ) для максимально точного планування, фахівці лікарні провели складне оперативне втручання.

Головна мета операції полягала у тому, щоб зібрати всі кісткові уламки та повністю відновити стабільність суглоба. Хірурги виконали:

  1. Зіставлення уламків малої гомілкової кістки та фіксацію її пластиною і гвинтами.
  2. Репозицію переломів великої гомілкової кістки з фіксацією гвинтами.
  3. Фіксацію суглоба спеціальним гвинтом для відновлення його стійкості.

Операційна бригада діяла злагоджено та професійно. До її складу увійшли Сергій Чорний, Сергій Ситник, Богдан Павленко, анестезіолог Інна Таран та операційна сестра Людмила Марценюк.

Зараз на хлопця чекає тривалий післяопераційний період і реабілітація, яка допоможе йому повністю відновити функцію кінцівки.

 

Читайте також:

Sky Park стане спільною власністю українців: Inzhur купує ТРЦ за 1,5 мільярда гривень

Мама загиблої дівчинки Лізи, яку вбила російська ракета у Вінниці, виходить заміж

Подякуй журналісту гривнею icon Подякуй журналістці гривнею
Марія ЛЄХОВА
Марія ЛЄХОВА - авторка цього матеріалу. Ви можете подякувати їй та надихнути на нові корисні матеріали
Закинути на Банку

Слідкуйте за новинами Вінниці у Telegram.

Коментарі

keyboard_arrow_up