Що таке лікування зубів під мікроскопом та куди звернутися у Вінниці? (партнерський проєкт)
- Лікування зубів під мікроскопом - це високотехнологічний підхід до лікування зубів, коли стоматолог використовує мікроскоп для детального дослідження та обробки зубів. Мікроскоп дозволяє лікарю побачити навіть найдрібніші деталі порожнини рота та зубів, що дозволяє точно виявити проблеми та провести якісне лікування.
- Якщо у вас є складна стоматологічна проблема або ви шукаєте максимально якісне та точне лікування, то варто розглянути можливість лікування зубів під мікроскопом. Звертайтесь до кваліфікованого стоматолога, який має досвід роботи з мікроскопом, для отримання консультації та рекомендацій щодо вашого випадку.
Зміст
- Стоматологічна клініка "Поділля" #Врублевських
- Медичний центр "Профі Дентал"
- Медичний центр "Вінінтермед"
- Стоматологічний центр "TopDent"
- ТОВ "Обласна стоматологічна поліклініка"
Стоматологічна клініка "Поділля" #Врублевських
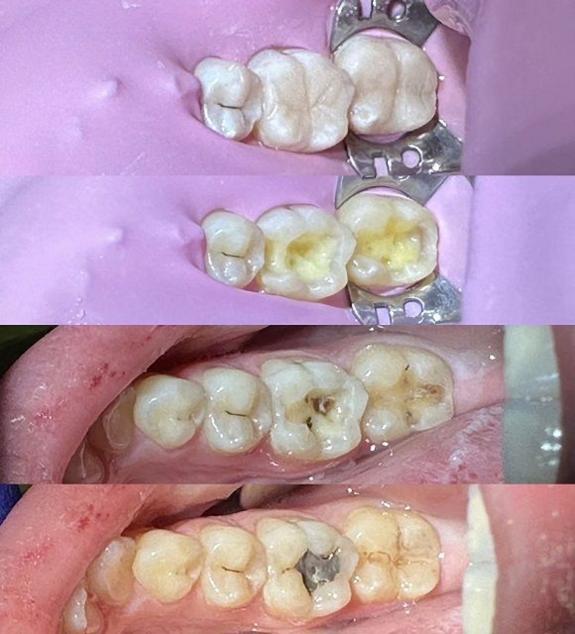
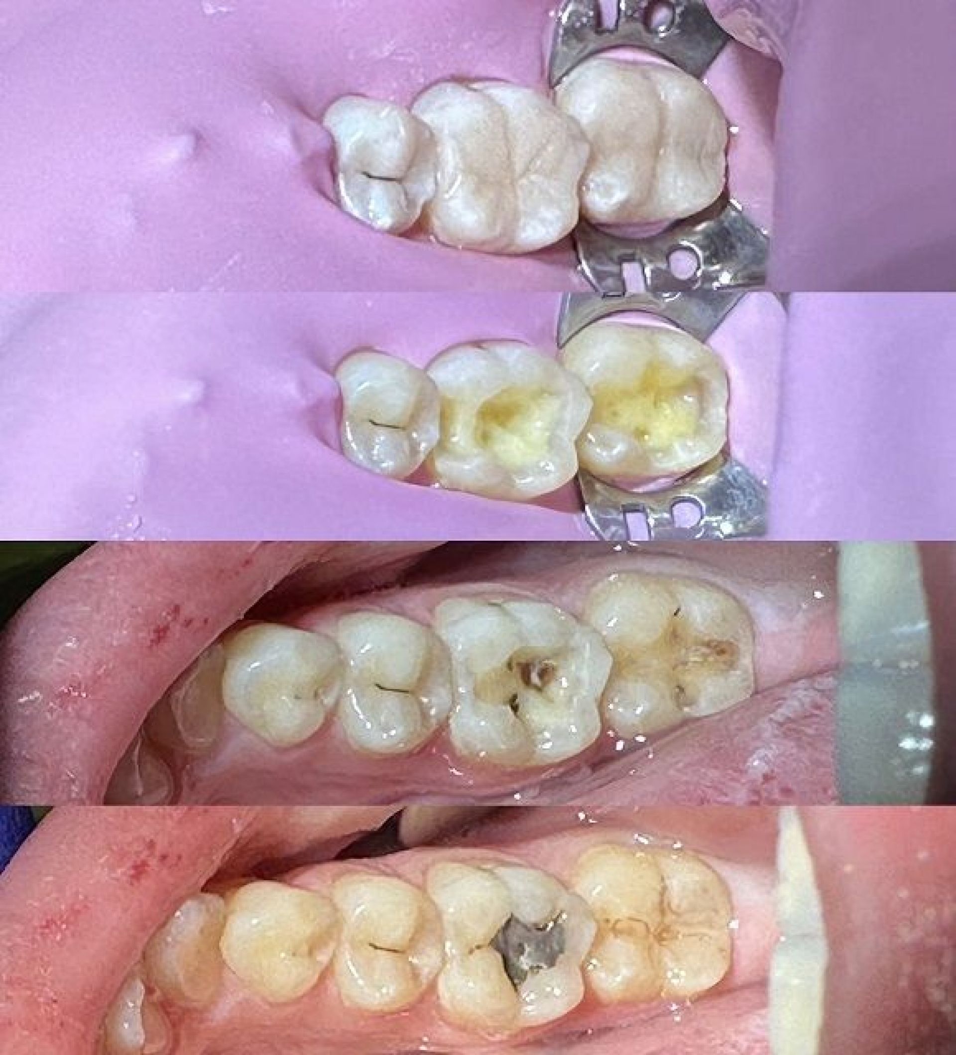
Стоматологічна клініка, яка пропонує лікування зубів під мікроскопом, є інноваційним і передовим медичним закладом. Використання мікроскопа в стоматології Врублевських «Поділля» дозволяє фахівцям проводити точні та якісні процедури лікування зубів, забезпечуючи високий рівень ефективності та найголовніше безпеку та комфорт для пацієнтів.
Робота з його допомогою дозволяє діагностувати приховані проблеми, поліпшити ефективність лікування навіть на найвіддаленіших ділянках, там де без мікроскопа лікарю довелось би діяти майже «навпомацки». Робота з мікроскопом, це не лише дороговартісне обладнання, а насамперед висококваліфіковані лікар.
Лікарі-стоматологи в клініці «Поділля», які використовують мікроскоп, пройшли спеціальне навчання та мають великий досвід роботи з цим інноваційним обладнанням. Це гарантує пацієнтам високий рівень кваліфікації та надійність процедур, що проводяться. Ми пишаємось, що маємо в команді таких спеціалістів.
Мікроскоп українського виробництва Scaner не залишить поза двадцятикратним збільшенням жодного нюансу та ви на практиці впевнитесь у:
- Високій точності:
- Безпеці та якості:
- Покращеній діагностиці
- Комфорті та довірі наших пацієнтів.
Чекаємо Вас:
+38 (063) 066 20 32
+38 (098) 066 20 32
(0432) 65 65 66
Сайт: podillya.dentist
Інстаграм: podillya.stom
Фейсбук: клініка Поділля
Адреса: м. Вінниця, вул. Зодчих, 3
Стоматологічна клініка Поділля
З нами вашу усмішку не змарнувати.
Медичний центр "Профі Дентал"
Медичний центр стоматології "Профі Дентал" в м. Вінниці пропонує свої послуги з комплексного лікування зубів за допомогою сучасних нових мікроінвазивних технологій. Використовуючи ефективні методики лікування зубів, їх вирівнювання, виправлення прикусу "Профі Дентал" допоможе вам досягнути бажаного вигляду зубів, їх здоров’я та міцності.
Стоматологічний центр "Профі Дентал" надає повний спектр стоматологічних послуг:
- діагностика та профілактика захворювань зубів і ясен;
- хірургічна стоматологія (видалення, імплантація зубів);
- лікування зубів під мікроскопом;
- художня реставрація зубів;
- протезування будь-якої складності (коронки, вініри, накладки);
- вирівнювання зубів та прикусу;
- рентген-знімки зубів (ТРГ, панорамний, один зуб);
- профілактика і лікування дитячого карієсу;
- естетична стоматологія (відбілювання зубів).
Сайт: profidental.com.ua
Фейсбук: clinicProfiDental
Графік роботи: Пн. - Сб. з 9.00 до 20.00
Нд. - з 9.00 до 18.00
Телефони: 0432 69 69 77,
067 885 66 89,
063 885 66 99
Адреса: м. Вінниця, вул. Пирогова, 112 А
Медичний центр "Вінінтермед"
Лікування каналів зуба (ендодонтія) під мікроскопом, це – одна з найефективніших методик сучасної стоматології завдяки якій покращується якість роботи при лікуванні пульпітів і переодонтитів, також переліковування раніше лікованих зубів, розпломбуванні кореневих каналів, видалення металевих, скловолоконних конструкцій, вилучання зламаних інструментів.
Після проведення лікування під мікроскопом відновлюється функція зуба та зберігається його зовнішній вигляд.
Ендодонтичне лікування зубів під мікроскопом може проводитись під медикаментозним сном (седація).
За допомогою мікроскопа також проводиться апікальна мікрохірургія.
Медичний центр. Стоматологія “Вінінтермед”
067 234 34 26,
050 461 57 00,
067 621 55 99 (гаряча лінія),
(0432) 67 41 41
Адреса: 21018 м. Вінниця, вул. Пирогова, 3а
Сайт: vinintermed.com.ua
Соц. мережі: vinintermed
Режим роботи центру:
Понеділок – П’ятниця з 8:00 до 21:00
Субота з 9:00 до 16:00
Неділя вихідний
Стоматологічний центр "TopDent"
Сучасний метод лікування карієсу зубів та його ускладнень під мікроскопом дозволяє лікарю бачити в деталях анатомію зубів, включаючи канали та мікротріщини, які неможливо розгледіти при звичайному огляді.
Один із засновників стоматологічної мікроскопії сказав: «Ви можете вилікувати тільки те, що можете побачити». Ця фраза чітко відображає суть стоматологічного мікроскопа.
Стоматологічний мікроскоп дозволяє стоматологу:
- збільшити зображення до 25 разів;
- виявити карієс в самій початковій стадії, невидимий неозброєним оком;
- працювати в техніці мінімальної інвазії, тобто максимально зберігати здорові тканини зуба, при протезуванні та реставраціях; - лікувати складні кореневі канали;
- якісно заповнити пломбувальним матеріалом кореневі канали; - здійснити лікування кореневих каналів, не пошкоджуючи здорові тканини зуба.
Стоматологічний центр "Top Dent" дбає про самопочуття та комфорт кожного клієнта, саме тому наші лікарі використовують найсучасніші методи лікування!
В "Top Dent" ви отримаєте всі види лікування в одному місці – від профілактики до вирішення самих складних стоматологічних проблем.
Графік роботи: Пн-пт 9:00-20:30
Сб 9:00-18:00
Сайт: topdent.ua
Інстаграм: topdent_ua
Фейсбук: topdent_ua
Телефон: 067 100 20 48, 093 100 20 48
Адреса: м. Вінниця, вул. С.Бандери (колишня вул. Льва Толстого, 9)
ТОВ "Обласна стоматологічна поліклініка"
Сучасна стоматологія не уявляє себе без лікування зубів під мікроскопом. За його допомогою здійснюється оптичне збільшення та локальне підсвічування робочої зони, що створює найкращі умови для виконання стоматологічних маніпуляцій.
Це підвищує якість стоматологічних послуг та розширює можливості лікування випадків, які раніше оцінювались як безнадійні та вели до видалення зуба. Цей напрямок охоплює і терапевтичний прийом, де потрібно якісно обробити канали кореня зуба і запломбувати сучасними пломбувальними матеріалами, і дитячий прийом, де потрібно запломбувати несформовані верхівки коренів в постійних зубах у дітей.
Переваги лікування під мікроскопом:
- Оптичне збільшення відкриває перед стоматологом нові можливості. Наприклад, при ендодонтичному лікуванні під мікроскопом забезпечується можливість більш точного виявлення кореневих каналів, якісне їх лікування і пломбування, при потребі – закриття перфорацій, видалення уламків інструментів.
- Точність та акуратність. Мікроскоп в стоматології надає можливість працювати з високою точністю та акуратністю. Це особливо важливо під час проведення ендонтичних втручань.
- В дитячій практиці – закриття несформованих верхівок коренів зуба.
Лікарі-мікроскопісти ТОВ "Обласна стоматологічна поліклініка" зроблять усе можливе, щоб зберегти ваші зуби.
Сайт: oblastnaya-stomatologicheskaya-poliklinika
Телефон для запису: 050 888 81 25, 0432 67 27 41
Графік роботи: пн.-пт. з 8.00 до 20.00
сб. з 9.00 до 15.00 (за попереднім записом)
Адреса закладу: 21050, м. Вінниця, вул. Грушевського, 16
